O tratamento das fraturas do fêmur é geralmente cirúrgico e leva em consideração especialmente o mecanismo da lesão, localização anatômica da fratura e a idade do paciente.
Esse grupo de lesões exige que o profissional possua conhecimento e experiência em diversas técnicas cirúrgicas como a artroplastia do quadril e diferentes métodos de osteossíntese, incluindo procedimentos minimamente invasivos. Durante período de treinamento nos EUA no ano de 2023, tive a oportunidade de me aperfeiçoar especificamente no planejamento e nas estratégias de tratamento de fraturas complexas do fêmur, bem como no manejo de complicações como as falhas de consolidação (pseudoartroses).
As fraturas do fêmur ocorrem especialmente em 2 grupos de pacientes: jovens vítimas de trauma de alta energia, e pacientes idosos - com osteoporose - que sofrem trauma de baixa energia. Além disso, uma terceira situação cada vez mais frequente em nossa prática é a fratura por stress, que costuma ocorrer em atletas e geralmente não se correlaciona com uma lesão traumática específica, mas sim com sobrecarga.
Na ocorrência de uma fratura do fêmur, em qualquer contexto ou idade, é fundamental a avaliação de um profissional experiente e qualificado, de modo que o melhor método e momento do tratamento sejam definidos.
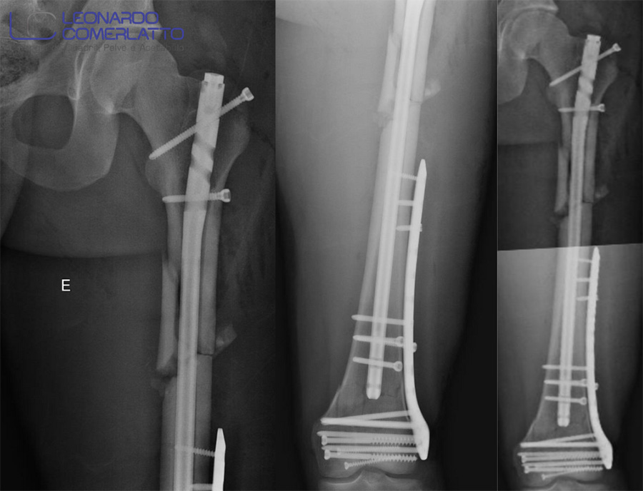
- Tratamento cirúrgico de uma fratura complexa e segmentar do fêmur, ocorrida em paciente jovem vítima de acidente de motocicleta. Os múltiplos componentes e gravidade de lesões como essa exigem detalhado planejamento e execução do procedimento por uma equipe especializada.
- Radiografia pós-operatória de uma paciente idosa que sofreu queda domiciliar resultando em uma fratura trocantérica do fêmur. O procedimento é realizado de forma minimamente invasiva e possibilita uma reabilitação precoce.
- Haste cefalomedular, um dos implantes mais utilizados no tratamento de fraturas que acometem a região proximal do fêmur.